Cet article a pour but de présenter un nouveau moteur endodontique autorisant tous les réglages dans les sens horaire et antihoraire, et permettant d’en faire bénéficier n’importe quelle lime, qu’elle soit conçue pour la réciprocité uniquement, ou la rotation continue conventionnelle.
De nombreux cas cliniques ont été réalisés et permettent de montrer que c’est un système cohérent, simple et facile d’utilisation avec seulement trois instruments mécanises et qu’il a sa place en pratique quotidienne (Fig. 1).En endodontie, de nombreuses innovations techniques ont visée à rendre les préparations canalaires plus simples, plus sures, plus efficaces et plus rapides. Les limes en Nickel-Titane et la rotation continue ont apporté un début de solution à ce problème dans les années 80. Mais, ces instruments ont encore quelques défauts comme leur relative fragilité et ils peuvent facilement se fracturer sous de fortes sollicitations en flexion et torsion.
En 2001, William B. Johnson déposé un brevet pour le compte de la société Dentsply, décrivant un mouvement de rotation dans un sens, entrecoupe, à intervalles réguliers, d’une amorce de rotation en sens inverse.1 Des études ont été réalisées à ce sujet et depuis le début des années 2010, la même société propose deux systèmes complets exploitant ces principes. Pour des raisons commerciales, la réciprocité s’effectue dans le sens anti-horaire dominant, avec des limes dont la spire est tournée à gauche, à l’inverse de toutes celles existant sur le marché (celle du Genius est spiralée à l’endroit). Les Wave One (Maillefer), et Reciproc (VDW) sont confectionnées dans un alliage diffèrent de celui des limes Ni-Ti conventionnelles, le M-Wire, qui leur procure une résistance à la fatigue cyclique supérieure.3
D’autres innovations sont venues depuis, améliorer encore leurs performances, comme une section et un traitement thermique différents Mais, la grande innovation, c’est qu’on n’utilise qu’un seul instrument pour réaliser la totalité de la préparation, sans passer par une série de limes de tailles croissantes. Les procédures cliniques sont donc simplifiées et plus rapides. Les limes de réciprocité sont conçues pour l’usage unique d’une dent, voire deux dents dans la même séance et sur le même patient. Les sollicitations très importantes, du fait qu’elles travaillent seules et non pas au sein d’une longue séquence, peuvent les fragiliser et réduire leur capacité de coupe. L’usage unique est donc préconisé pour une meilleure efficacité, et la réduction, si ce n’est la suppression des risques de fracture dans le canal. Il évite également toute possibilité de contamination croisée du fait d’un nettoyage ou/et d’une stérilisation défectueuse entre deux patients. En revanche et c’est un problème important, ces limes ne peuvent être employées qu’avec des moteurs spécifiques de la marque, également capables de rotation continue dans le sens horaire pour l’utilisation d’instruments complémentaires.
D’autres fabricants, surfant sur la même vague de l’instrument unique, proposent eux aussi aujourd’hui, des limes à utiliser seules, mais en rotation continue. Le moteur Genius (Ultradent, USA) proposant la réciprocité, est-ce que cette technique, comparée a la rotation continue, présente une supériorité décisive ? L’une des études les plus complètes sur ce thème a été publiée en 2015 dans le Journal of Endodontics.4 Il s’avère que ce mouvement peut, comme G. Yared2 l’a expérimenté au départ, être applique à n’importe quel instrument conçu pour la rotation continue pourvu que l’on dispose d’un moteur autorisant ces réglages, ce qui est le cas pour le moteur Genius.
Pour un clinicien, la vitesse de préparation est aussi un argument important. Peu d’études ont été consacrées au gain de temps éventuel procure par la réciprocité.
Les conclusions les plus marquantes sont celles de G. Yared, qui n’à utilisé qu’un seul instrument de finition plutôt qu’une séquence complète.2 En toute logique, une préparation à l’aide d’une lime unique devrait être plus rapide que le passage d’une série de quatre à six instruments de tailles croissantes.
Toutes les études montrent que la réciprocité réduit le temps de préparation par rapport à la rotation continue, que l’on utilise des instruments dédiés, ou des limes initialement conçues pour la rotation continue. L’utilisation d’un instrument unique réduit la durée de la préparation, mais augmente les contraintes qu’il subit, d’où l’obligation d’une utilisation unique et jetable de l’instrument. La réciprocité préserve mieux la morphologie initiale du canal que la rotation continue.5–7 Les préparations sont mieux centrées, les courbures mieux respectées, avec moins de déports au niveau cervical et apical. La plupart des études montrent que le mouvement de réciprocité augmente la résistance à la fatigue des instruments endodontiques, en comparaison de la rotation continue,9 mais celle-ci est également liée la nature de l’alliage entrant dans la confection des limes.9 Ces conclusions sont indépendantes d’autres variables qui peuvent également intervenir, comme la vitesse de rotation, l’angle de courbure des canaux utilisés pour les expérimentations, la géométrie, la conicité ou les caractéristiques de surface des instruments Ni-Ti. Les valeurs d’origine (-150°/+30°) proposées par le fabricant WaveOne entrainent le plus de déports du canal, significativement moins centré par rapport aux autres groupes. À l’inverse, la diminution de l’écart entre les angles négatif et positif respecte mieux la morphologie canalaire initiale, réduit la fatigue cyclique des instruments mais augmente le temps de préparation.10 Tous les systèmes provoquent des craquelures, et selon la majorité des études sur ce sujet, la réciprocité semblerait produire moins de craquelures que la rotation continue, mais la nature de l’alliage utilisé pourrait également influencer les resultats.11
Figs. 1 : Cas clinique réalisé avec le système Genius (c Dr Carlos Spironell Ramos).
Fig. 5 : Grossissement d’une lime Genius, spiralée a l’endroit (c Dr Carlos Spironelli Ramos).
Fig. 6 : Différentes limes du système GeniusR
1. Orifice Opener court de 18 mm, n° 30 et conicite 8 % pour l’évasement du tiers cervical et la relocalisation des entrées canalaires.
2. Une lime n° 25.04 pour la préparation initiale jusqu’à’a la longueur de travail obtenue après exploration a l’aide de limes K manuelles jusqu’au numéro 15. Pour être utiliser de préférence en réciprocité, 90/30°,350 rpms.
3. Limes 30, 35, 40 ou 50 toujours en conicité .04 à choisir selon le profil anatomique initial du canal.
Fig. 7 : les différentes limes du système Genius et séquences utilisées en fonction de du profil radiculaire (c Dr Carlos Spironell Ramos).
Fig. 8 : Cas clinique Dr Camille Bertrand.
Fig. 9 : Cas clinique Dr Camille Bertrand.
Fig. 10 : Cas clinique Dr Camille Bertrand.
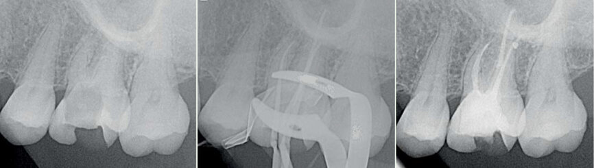
Fig. 11 : Cas clinique Dr Carlos Spironelli.
Tous les instruments endodontiques en rotation dans le canal produisent des débris qui peuvent traverser le foramen et provoquer une inflammation du péri-apex. La plupart des études montrent que les limes en réciprocité extrudent plus de débris que celles en rotation continue.12 Des études ont montré que les limes uniques produisaient plus de débris comparées à une séquence complète. Les études in vivo ont révélé que la forme de l’instrument est plus importante que le nombre de limes utilisées. La réaction inflammatoire produite par le traitement canalaire ne serait pas liée au nombre de limes, mais au type de mouvement et au design des instruments.
Des études concluent que la réciprocité est une alternative pertinente a la rotation continue, mais qu’aucun système de limes ne peut préparer la totalité du canal, éliminer la totalité des micro-organismes canalaires, ni retirer entièrement les matériaux d’obturation préexistants.4 Donc, Les techniques de nettoyage et désinfection canalaires doivent encore faire des progrès. Cependant, la réciprocité semble la méthode de mise en forme mécanique des canaux la plus aboutie aujourd’hui.
La réciprocité présenterait donc une majorité d’avantages par rapport à la rotation continue : préparations plus rapides, formes des canaux mieux respectée, risques de fractures instrumentales insignifiants, et cela, que l’on utilise des limes dédiées ou des limes conventionnelles, pourvu qu’elles aient une agressivité suffisante.13 Le mouvement de réciprocité asymétrique rend la progression des limes plus sécurisante dans le canal. On ne ressent aucune sensation d’aspiration, comme c’est parfois le cas en rotation continue. Mais jusqu’à présent, seuls les moteurs et équipements dédiés a la réciprocité à dominante anti-horaire, permettait de pratiquer ce type de travail avec leurs limes exclusives.
Description
Un nouveau moteur, autorisant tous les réglages dans les sens horaire et antihoraire, permet d’en faire bénéficier n’importe quelle lime, qu’elle soit conçue pour la réciprocité uniquement, ou la rotation continue conventionnelle avec contrôle de couple, à la vitesse de son choix, ce qui est un gros avantage. Les études précédentes le confirment et nous allons le décrire. Le moteur Genius (Fig. 2) est constitué d’une pièce à main entrainée par un moteur électrique conçue pour les procédures de préparation canalaire en endodontie. Il travaille aussi bien en mode rotation réciproque (90°/30°) qu’en mode rotation continue 360°. Le moteur est préprogrammé en mode P1 pour le système Genius (90° en sens horaire et 30° en sens anti-horaire avec 350 rpms).
Caractéristiques :
– Une unité de commande avec écran LCD pour la sélection des paramètres.
– Une pédale de commande est raccordée à l‘unité de commande de sorte que le praticien peut sélectivement activer et désactiver le moteur.
– Rotation continue avec mouvement a 360° (Fig. 4).
– Rotation réciproque 90°/30° (Fig. 3).
– Programmes personnalisables.
Avantages :
– En mode rotation continue : cela permet le nettoyage canalaire le plus efficace car les débris remontent le long des lames des limes.
– En mode réciprocité : cela réduit la fatigue cyclique et de torsion sur les limes et la mise en forme est efficace et sans danger.
– Une personnalisation multiple peut être faite en fonction des séquences d’instrumentation.
– Ce moteur est compatible avec tous les contre-angles type E et les différents types de limes endodontiques.
Un ensemble de limes entièrement conçues pour travailler en rotation continue et réciprocité horaire est également disponible pour optimiser les traitements (Limes Genius) (Fig. 6). Mais chacun peut avec cet équipement, continuer d’employer ses instruments favoris et découvrir les bienfaits de la réciprocité, pour son plus grand profit et celui de ses patients.
Chaque lime de section en ≪ S ≫ possède une conicité constante de .04 pour élargir et nettoyer le système canalaire, tout en préservant un maximum de structure dentaire (Fig. 5). Elles sont compatibles aussi bien avec un mouvement de réciprocité qu‘avec la rotation continue. Ce mouvement de réciprocité réduit le risque de fracture instrumentale lié à la torsion et la fatigue cyclique, et il créé également un passage aise jusqu‘aux limites apicales. Après avoir atteint la limite apicale en toute sécurité, les limes Genius peuvent être utilisées en rotation continue 360° pour mieux éliminer les débris du canal.
Protocole
Les limes Genius, spiralées ≪ à l’endroit ≫(Fig. 5), se composent donc d’une série de cinq instruments : un Orifice Shaper court de 18 mm, n° 30 et conicité 8 % pour l’évasement du tiers cervical et la relocalisation des entrées canalaires, une lime n° 25.04 pour la préparation initiale jusqu’à la longueur de travail obtenue après exploration a l’aide de limes K manuelles jusqu’au numéro 15, et des limes 30, 35, 40 ou 50 toujours en conicité .04 à choisir selon le profil initial du canal.
Si l’Orifice Shaper s’emploie de manière classique en rotation continue, les limes suivantes s’utilisent en réciprocité avec des paramètres optimisés pour une meilleure sécurité : 90° dans le sens horaire, 30° dans le sens anti-horaire. Une fois la longueur de travail atteinte, ces instruments sont utilisés pendant quelques secondes en rotation continue conventionnelle, pour mieux éliminer les débris dentinaires. La réciprocité permet de préparer les canaux avec seulement trois instruments. L’argument invoque par le fabricant pour justifier le choix des limes a 4% est une moindre mutilation des parois canalaires à mi-hauteur de la racine, réduisant les risques de fragilisation ou de perforation latérale, et l’élargissement du tiers apical à un diamètre plus compatible avec une bonne désinfection du canal. En outre, une conicité plus petite offre plus de flexibilité et plus de résistance à la fatigue cyclique. La progression en réciprocité est très rassurante car on ne ressent aucune aspiration de l’instrument vers l’apex, mais son mouvement un peu saccadé peut être déstabilisant au premier abord. La conicité réduite permet d’atteindre très rapidement la longueur de travail avec la lime n° 25. Ensuite, les limes n° 30 (pour les canaux courbes et étroits) ou 35 (pour les canaux courbes) n’ont que peu d’effort à fournir pour terminer la préparation, les plus grosses étant réservées aux dents monoradiculées (n° 40 et 50). N’importe quelle méthode d’obturation peut être utilisée avec ce type de préparation, à condition d’employer des pointes de gutta de conicité .04 (Tableau n °1).
Cas cliniques
Le système Genius est donc un ensemble limes-moteur-contre-angle endodontique qui propose une approche et des concepts différents à ceux généralement enseignés, donc en opposition. Mais, ce système est simple, alliant la réciprocité et la rotation continue. De nombreux cas ont été réalisés et montrent que ce système endodontique est fiable et a réellement sa place dans la pratique quotidienne. L’essayer c’est l’adopter (Figs.8–11).
Bibliographie
1 William B. Johnson. Rotary handpiece for endodontic Instrumentation. Patent US 6293795 B1. Sept. 25, 2001.
2 Yared G. Canal preparation using only one Ni-Ti rotary instrument: preliminary observations. Int Endod J. 2008 Apr;41(4):339-44.
3 Liu J. Characterization of New Rotary Endodontic Instruments Fabricated from Special Thermomechanically Processed NiTi Wire. PhD Thesis, The Ohio State University, 2009.
4 Plotino G, Ahmed HM, Grande NM, Cohen S, Bukiet F. Current Assessment of Reciprocation in Endodontic Preparation: A Comprehensive Review--Part II: Properties and Effectiveness. J Endod. 2015 Dec;41(12):1939-50.
5 Franco V, Fabiani C, Taschieri S, Malentacca A, Bortolin M, Del Fabbro M. Investigation on the shaping ability of nickel-titanium files when used with a reciprocating motion. J Endod. 2011 Oct;37(10):1398-401.
6 Hwang YH, Bae KS, Baek SH, Kum KY, Lee W, Shon WJ, Chang SW. Shaping ability of the conventional nickel-titanium and reciprocating nickel-titanium fi le systems: a comparative study using micro-computed tomography. J Endod. 2014 Aug;40(8):1186-9.
7 Giuliani V, Di Nasso L, Pace R, Pagavino G. Shaping ability of waveone primary reciprocating files and ProTaper system used in continuous and reciprocating motion. J Endod. 2014 Sep;40(9):1468-71.
8 Kiefner P, Ban M, De-Deus G. Is the reciprocating movement per be able to improve the cyclic fatigue resistance of instruments? Int Endod J. 2014 May;47(5):430-6.
9 Ferreira F, Adeodato C, Barbosa I, Aboud L, Scelza P, Zaccaro Scelza M. Movement kinematics and cyclic fatigue of NiTi rotary instruments: a systematic review. Int Endod J. 2017 Feb;50(2):143-152.
10 Saber Sel D, Abu El Sadat SM. Effect of altering the reciprocation range on the fatigue life and the shaping ability of WaveOne nickel- titanium instruments. J Endod. 2013 May;39(5):685-8.
11 Pedulla E, Genovesi F, Rapisarda S, La Rosa GR, Grande NM, Plotino G, Adorno CG. Effects of 6 Single-File Systems on Dentinal Crack Formation. J Endod. 2017 Mar;43(3):456-461.
12 Caviedes-Bucheli J, Castellanos F, Vasquez N, Ulate E, Munoz HR. The infl uence of two reciprocating single-file and two rotary-fi le systems on the apical extrusion of debris and its biological relationship with symptomatic apical periodontitis. A systematic review and meta-analysis. Int Endod J. 2016 Mar;49(3):255-70.
13 Ahn SY, Kim HC, Kim E. Kinematic Effects of Nickel-Titanium Instruments with Reciprocating or Continuous Rotation Motion: A Systematic Review of In Vitro Studies. J Endod. 2016 Jul;42(7):1009-17.
Note de la rédaction : article paru dans le journal Dental Tribune France, volume 10, numéro 10/2018.
Auteurs :
Camille Bertrand,1 Carlos Spironelli Ramos,2 Marc Apap3 et Bruno Pelissier4
1 Ex-AHU Montpellier, pratique privée, Perols, France. 2 DDS, MS, PhD endodotontics Salt Lake City, États-Unis. 3 Ex-AHU Paris 5, pratique privée, Saint Germain en Laye, France. 4 MCU-PH, PhD, UFR d’odontologie de Montpellier, France.
La communication est un pilier, non négligeable, dans la pratique de la chirurgie dentaire. Elle est essentielle pour établir une relation de confiance ...
L’été dernier, Brice Saint Jalmes prenait la direction de Planmeca France, la succursale française du groupe Planmeca. Depuis, il chapeaute le réseau ...
WAALWIJK, Pays-Bas : Depuis plus de 35 ans, les systèmes de traitement développés par Myofunctional Research Co. (MRC) aident les praticiens du monde ...
Lorsqu’il est question des dernières innovations en implantologie dentaire, l’un des sujets les plus fréquemment abordés, concerne les technologies ...
PARIS, France : Organisé par l’Union nationale patronale des prothésistes dentaires (UNPPD), le Dental Forum fera son retour du 2 au 4 avril 2026 au ...