Search Dental Tribune

Nivellement adéquat de la courbe de Spee – Un facteur essentiel du traitement de la supraclusion par aligneurs

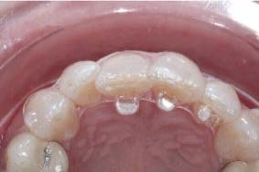
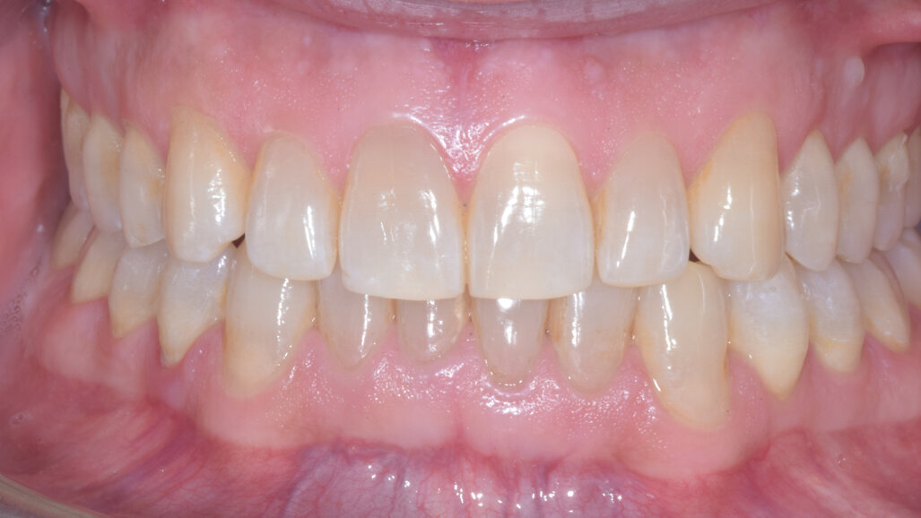
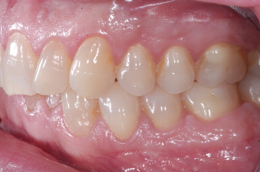
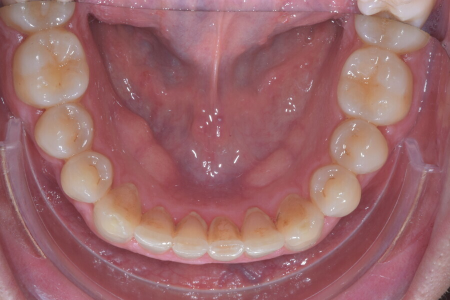
En raison de l’âge du patient, les aligneurs ont été changés tous les dix jours, dans le cadre d’un traitement d’une durée inférieure à six mois. À la fin de la première série d’aligneurs, un nouveau plan de traitement numérique comportant cinq autres aligneurs a été conçu, en vue d’améliorer l’intercuspidation des molaires sans élastiques. (Photos : Dr Alessandro Greco)

mer. 14 juin 2023

Enregistrer

Il semble que le traitement par aligneurs empêche l’extrusion des molaires au cours des mouvements dentaires si ces dispositifs sont portés quotidiennement, toute la journée. En termes de biomécanique, cette force réactionnelle intrusive peut être jugée favorable pour corriger l’espace vertical excessif chez les patients présentant une béance antérieure, mais lors du traitement de la supraclusion, cet effet de mordu occlusal peut constituer une stricte limitation, car il circonscrit la correction dentaire à la région antérieure de l’arcade (version des incisives, intrusion des dents supérieures et inférieures).1–4

L’ajout de rampes d’occlusion intégrées dans les aligneurs a modifié l’approche du traitement de la supraclusion, et a augmenté sa prédictibilité, tout en écartant le besoin d’une conception technique excessive du plan de traitement numérique.

La courbe de Spee et la gestion des mouvements des dents postérieures sont un aspect crucial du traitement de la supraclusion sévère par aligneurs. Pour mieux comprendre comment les mouvements différentiels peuvent influencer le traitement de la supraclusion, certains auteurs ont récemment décomposé la malocclusion de type recouvrement incisif profond, en composantes principales et secondaires.5 Les composantes principales sont un angle goniaque réduit et une courbe de Spee trop prononcée. Les composantes secondaires sont l’inclinaison des dents antérieures, l’égression pathologique des incisives supérieures, et la croissance verticale du maxillaire.

Lors du traitement de la supraclusion, l’intrusion des incisives inférieures doit être combinée avec l’extrusion des dents postérieures au moyen de mouvements extrusifs relatifs (correction du torque et de l’inclinaison). Grâce à cette approche, il est possible de parvenir à une correction significative de la supraclusion antérieure et à une certaine extrusion des dents postérieures, à la suite d’un nivellement adéquat de la courbe de Spee.

Le nivellement de l’arcade mandibulaire par une intrusion des dents antérieures combinée avec l’extrusion relative des dents postérieures, ou tout au moins avec le maintien de la position verticale des dents postérieures, complète le traitement. La désocclusion des dents postérieures maintenue tout au long du traitement au moyen de rampes d’occlusion, entraîne significativement leur extrusion. Le léger degré d’extrusion absolue associé à l’extrusion relative grâce à la distoversion des molaires et au redressement des molaires et prémo- laires par un mouvement de torque (nivellement de la courbe de Spee dans les trois dimensions), favorise la rotation de la mandibule dans le sens horaire.

Élaboration du plan de traitement numérique

Pour bien corriger une mal-occlusion de type supraclusion au moyen d’aligneurs, Align Technology a intégré des rampes d’occlusion de précision, ainsi que des bourrelets d’occlusion (turbos) antérieurs personnalisés dans son système d’aligneurs Invisalign, et ceux-ci sont disponibles pour la face linguale des incisives centrales et latérales supérieures, ou des canines supérieures. Contrairement aux attachements classiques, ces éléments auxiliaires ne nécessitent pas l’utilisation d’une résine composite ; ils constituent une extension linguale de l’aligneur (extension palatine maximale de 3 mm) qui crée des contacts prématurés dans la région antérieure et par conséquent, une désocclusion des dents postérieures. Les rampes sont prévues pour surélever progressivement l’occlusion, ce qui accroît l’espace interocclusal postérieur nécessaire à l’extrusion relative des dents latérales et postérieures. Les rampes doivent être combinées avec deux autres types d’éléments auxiliaires : les taquets, qui sont utilisés pour l’extrusion des dents latérales, et la création de points de pression au niveau de la face linguale des incisives inférieures, qui permettent d’exercer plus efficacement des forces intrusives suivant le grand axe des incisives. Il est ainsi possible d’optimiser le nivellement de la courbe de Spee mandibulaire, en combinant deux mouvements réciproques dans deux parties différentes de l’arcade, c’est-à-dire intrusion dans la région antérieure et extrusion dans la région postérieure, comme le décrit la littérature.6, 7

Lors de l’élaboration du plan de traitement numérique (logiciel ClinCheck), il convient surtout de veiller au nivellement précis de la courbe de Spee dans les 3 dimensions :

  • Dans le plan vertical, les deuxièmes molaires inférieures représentent un point de référence et ne nécessitent donc pas une extrusion, alors que ce mouvement doit être prévu pour les premières molaires, les secondes prémolaires et (parfois) les premières prémolaires (en fonction de l’importance du rayon de courbure de la courbe de Spee). L’intrusion doit être effectuée simultanément d’une canine à l’autre afin d’obtenir un recouvrement incisif normal.8
  • Dans le plan sagittal, la disto-version des deuxièmes et premières molaires, combinée avec la mésioversion des prémolaires et des canines, favorise le nivellement de la courbe de Spee. Ce mouvement est synergique et la disto-version favorise partiellement l’extrusion des molaires.
  • Dans le plan transversal, le redressement des prémolaires et des molaires pour parvenir à un torque proche de 0 degré, induit une extrusion relative des segments latéraux et contribue au nivellement de la courbe de Spee, ainsi qu’à des contacts occlusaux postérieurs prématurés.9

Dans la planification numérique, le degré d’extrusion postérieure planifié en 3D crée de puissants contacts occlusaux sur les cuspides d’appui, et ces contacts prématurés permettent une intercuspidation cliniquement appropriée, sans perte des contacts occlusaux durant le traitement, ce qui entraîne une rotation de la mandibule dans le sens horaire. Enfin, pour faciliter la rotation mandibulaire et l’intercuspidation, des élastiques de classe II, dont la composante verticale de la force est directement reliée aux aligneurs, seront utiles pour obtenir une extrusion absolue et relative.

En résumé, un résultat clinique prédictible de la correction de la su-praclusion requiert essentiellement la planification des éléments suivants dans le logiciel avec contrôles 3D (ClinCheck) :

  • intrusion des dents antérieures (dans la mandibule lorsque la ligne du sourire est correcte) ;
  • cxtrusion des dents postérieures ;
  • courbe de nivellement de Spee en trois dimensions comme décrit ;
  • taquets épais sur les dents postérieures et latérales (horizontaux, forme rectangulaire avec biseau gingival) ;
  • rampes d’occlusion sur les incisives supérieures (en cas d’intrusion dans la région antérieure de la mandibule) ;
  • zone de pression sur les incisives inférieures ;
  • vestibulo-version contrôlée des incisives supérieures et inférieures ;
  • puissants contacts occlusaux dans la région postérieure ; et
  • élastiques de classe II dont la composante verticale de la force est directement reliée aux aligneurs.

Cet article a pour but de présenter un exemple clinique du protocole de traitement d’une supraclusion chez un patient adulte, au moyen des aligneurs transparents Invisalign, et ce, en moins de douze mois.

Étude de cas

Antécédents et évaluation

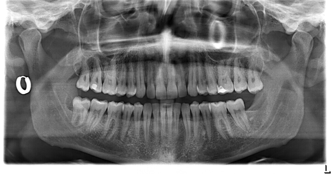
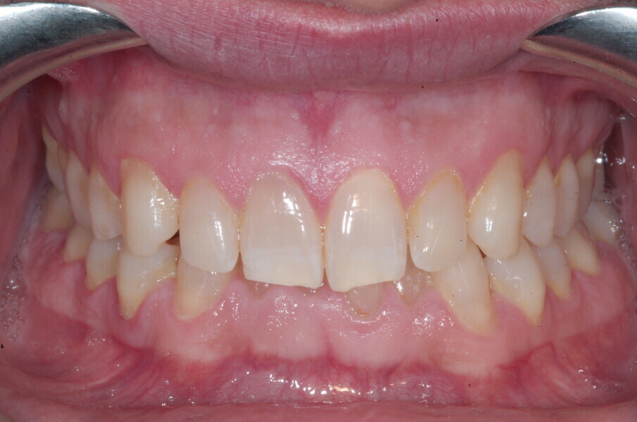
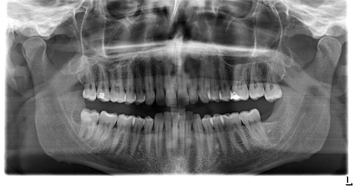
Le motif principal de consultation de ce patient âgé de 37 ans, était de rétablir l’alignement des dents antérieures sur les deux arcades. L’analyse faciale a indiqué une face courte avec un profil plat, mais une projection normale du menton (Figs. 9–12), et l’examen clinique a révélé une classe squelettique de type I (angle ANB = 0,89°) et une malocclusion de classe I avec supraclusion sévère (près de 100 %), une courbe de Spee très prononcée, un torque normal de l’incisive centrale supérieure (Ui-FH = 110°), un encombrement dentaire léger sur l’arcade maxillaire et modéré sur l’arcade mandibulaire (Figs. 13–18). Chez ce patient, les composantes de la supraclusion correspondaient à une dysmorphie squelettique grave correspondant à une hypodivergence (FMA = 14,24°), avec une inclinaison normale des incisives supérieures et inférieures et un angle goniaque réduit (110,46°). L’analyse du cliché céphalométrique indiquait une hauteur réduite de l’étage inférieur de la face associée à l’hypodivergence (Fig. 19). La seule option de traitement envisagée était un traitement orthodontique par aligneurs avec tous les éléments auxiliaires décrits (rampes d’occlusion, zones de pression, nivellement de la courbe de Spee dans les trois dimensions, élastiques de classe II et puissants contacts occlusaux) afin de corriger la supraclusion.

Évolution du traitement

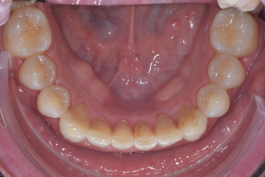
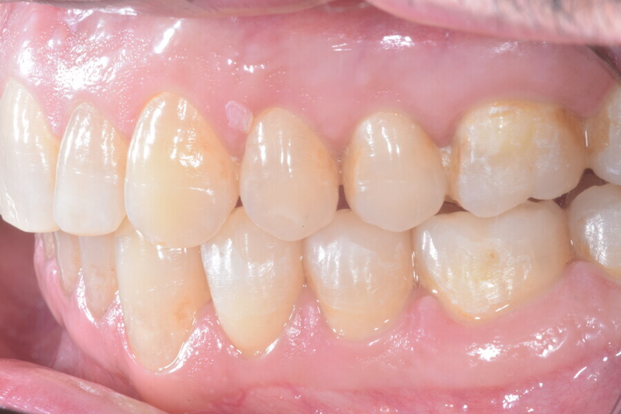
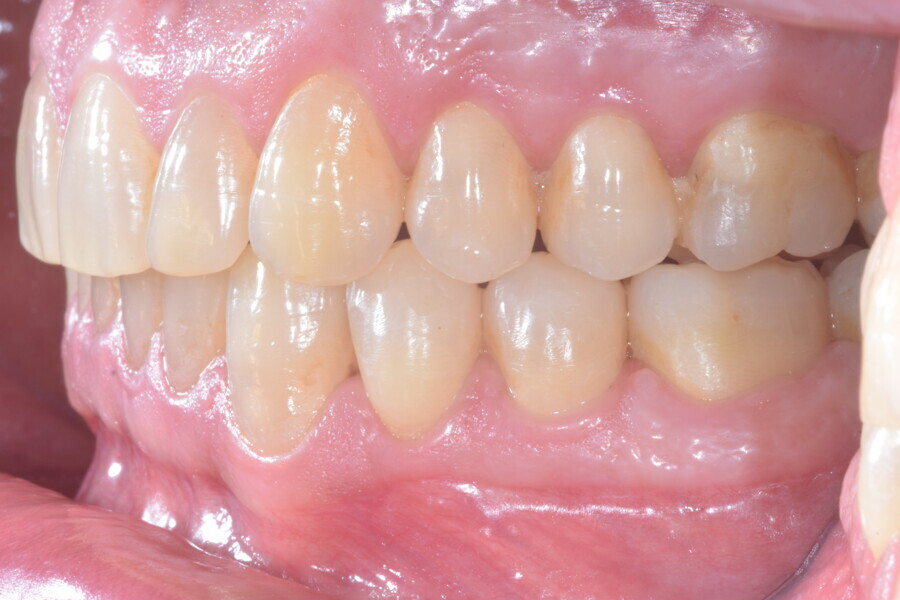
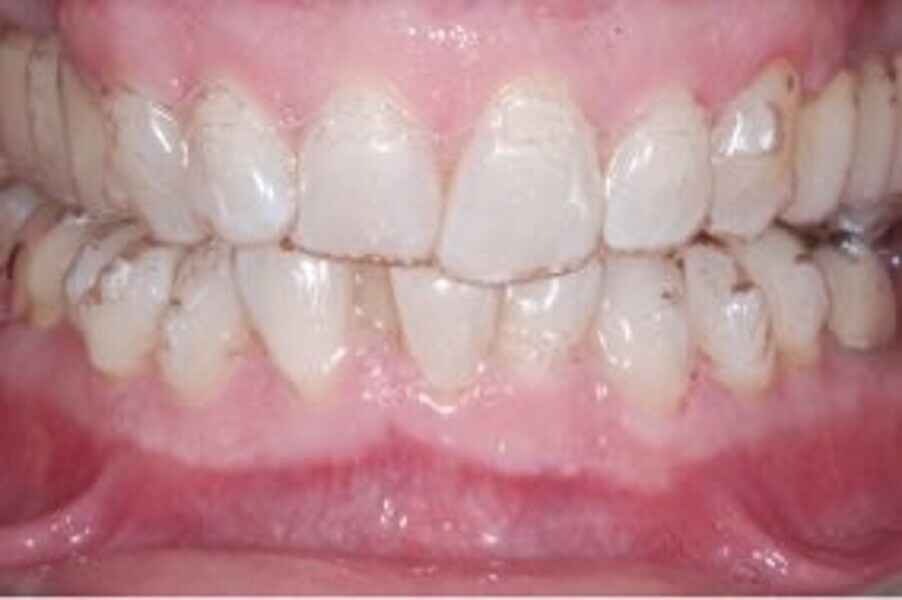
Le plan de traitement numérique (ClinCheck) avait prévu douze aligneurs pour l’arcade maxillaire et dix-sept pour l’arcade mandibulaire. Les objectifs du traitement visaient à combiner les mouvements verticaux d’extrusion des dents postérieures et les mouvements d’intrusion des dents antérieurs, au moyen de rampes d’occlusion, tout en utilisant des taquets d’extrusion pour assurer la désocclusion des dents postérieures et l’intrusion des dents antérieures inférieures, nécessaires au nivellement de l’arcade mandibulaire. La courbe de Spee a été nivelée et le profil plat ainsi que la position des lèvres ont été améliorés par une vestibulo-version des incisives supérieures et inférieures. Le plan avait prévu des élastiques de classe II pour faciliter la vestibulo-version des dents inférieures et les puissants contacts occlusaux postérieurs, avec une extrusion relative des dents postérieures. Une morphologie plus large de l’arcade et une intercuspidation idéale ont été obtenues par des mouvements de torque proches de 0° des dents latérales et postérieures supérieures. Aucune conception technique excessive n’avait été prévue dans le plan de traitement numérique. En raison de l’âge du patient, les aligneurs ont été changés tous les dix jours, dans le cadre d’un traitement d’une durée inférieure à six mois. À la fin de la première série d’aligneurs (Figs. 20–24), un nouveau plan de traitement numérique comportant cinq autres aligneurs a été conçu, en vue d’améliorer l’intercuspidation des molaires sans élastiques. La durée totale du traitement a donc été prolongée jusqu’à 7,5 mois puisque les aligneurs supplémentaires étaient changés toutes les semaines.

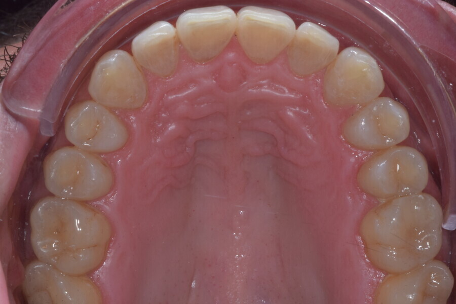
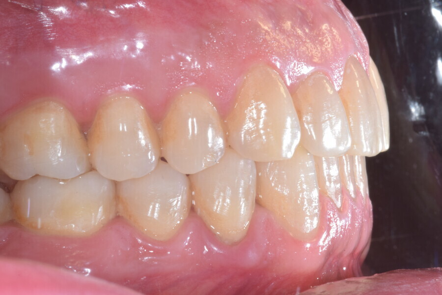
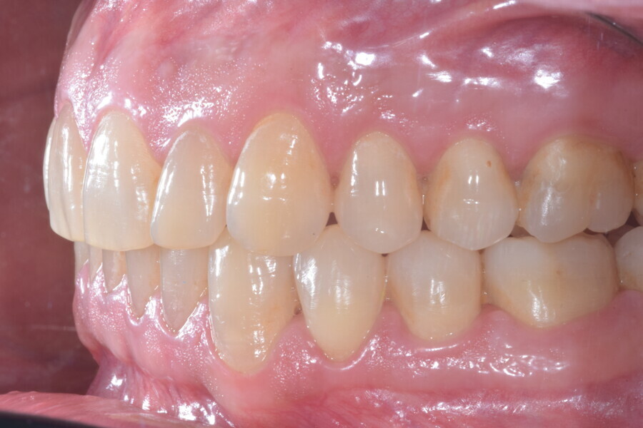
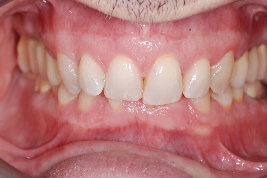
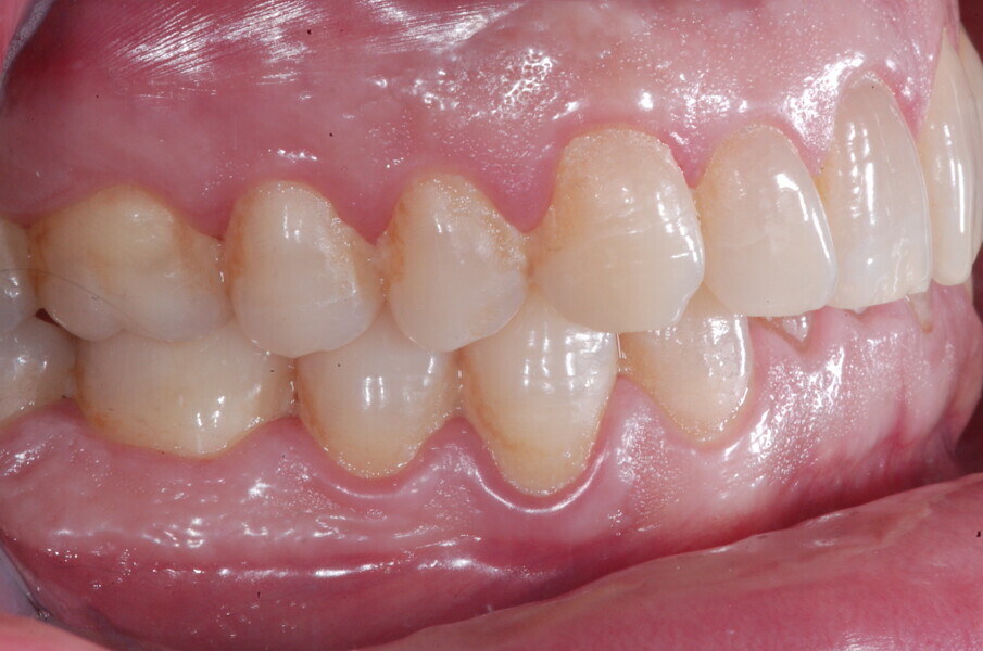
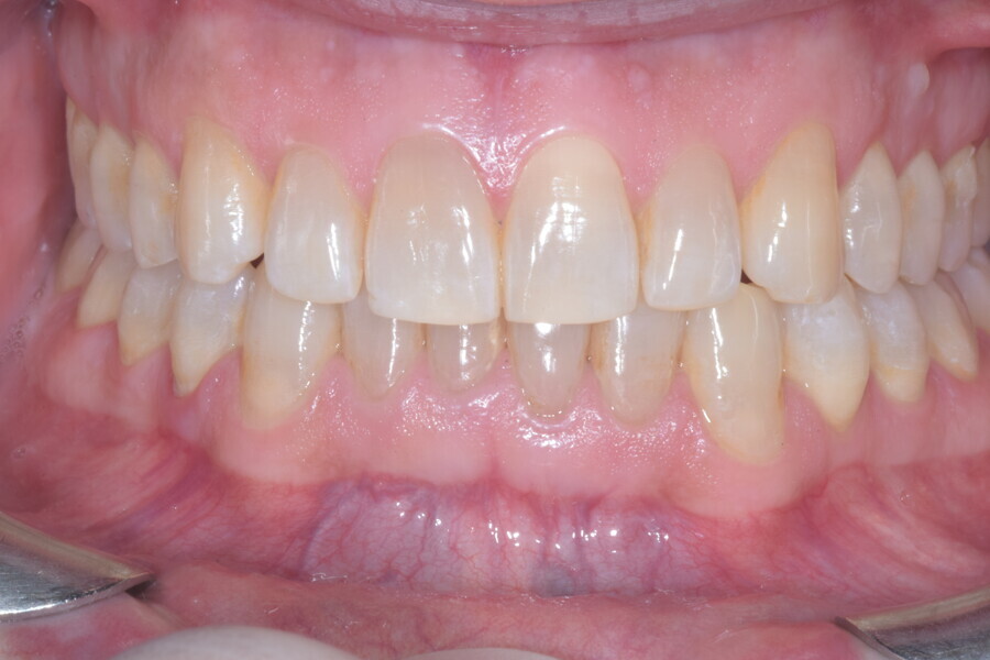
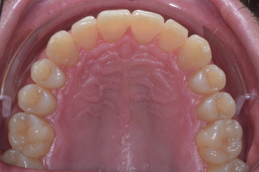
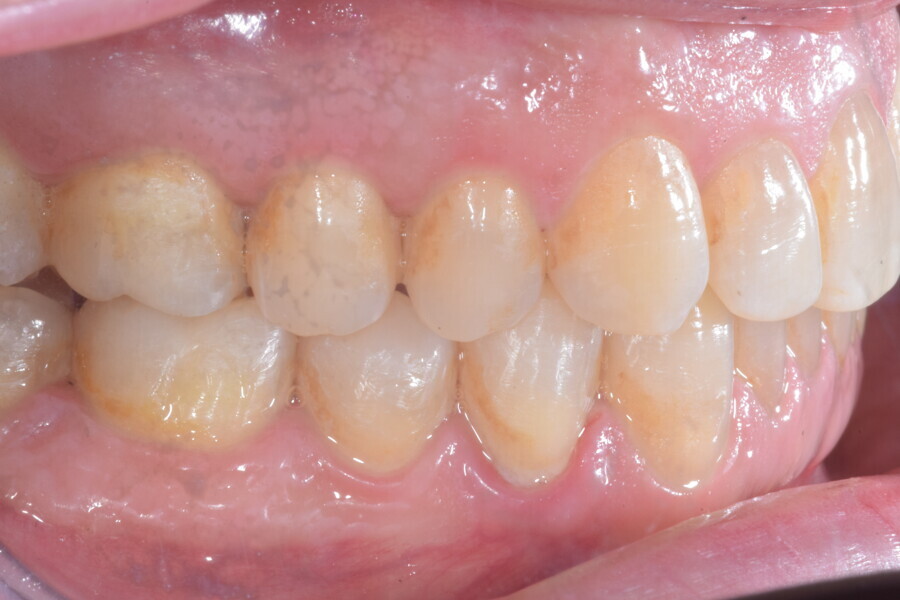
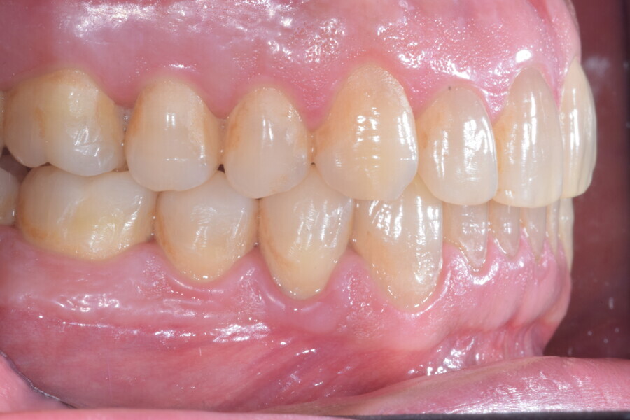
À la fin du traitement, on pouvait observer une relation de classe I des canines et des molaires, une légère augmentation de l’inclinaison des incisives supérieures (Ui-FH = 112°), une correction complète de l’inclinaison des incisives inférieures (IMPA = 97,09°) grâce à la vestibulo-version, et une légère amélioration de l’hypodivergence (SN-GoGn = 27°) résultant de l’extrusion relative des dents postérieures, et de l’utilisation d’élastiques de classe II — petite variation (1°) très intéressante compte tenu de l’âge du patient (Figs. 25–35). La ligne du sourire était harmonieuse et correspondait à une relation idéale entre les incisives supérieures et la lèvre inférieure. Le sourire avait été élargi grâce au contrôle du torque des segments latéraux et postérieurs.

La ligne du sourire était harmonieuse et correspondait à une relation idéale entre les incisives supérieures et la lèvre inférieure. Le sourire avait été élargi grâce au contrôle du torque des segments latéraux et postérieurs. La superposition des tracés céphalométriques montrait des changements intéressants induits par le traitement orthodontique (Figs. 36 et 37) :

  • L’inclinaison des incisives supérieures était réduite d’environ 2° (de 110° à 112°) par rapport au plan maxillaire, et l’inclinaison des incisives inférieures était réduite d’environ 6° (de 91° à 97°) par rapport au plan mandibulaire. La relation interincisive était satisfaisante et le soutien symphysaire suffisant.
  • L’extrusion relative des molaires supérieures et inférieures, combinée avec l’utilisation de rampes d’occlusion, avait mené à une légère rotation de la mandibule dans le sens horaire (SN-GoGn de 26° à 27°), ce qui avait d’autant plus amélioré le recouvrement incisif.
  • La vestibulo-version des incisives supérieures et inférieures avait amélioré le profil et le soutien labial.

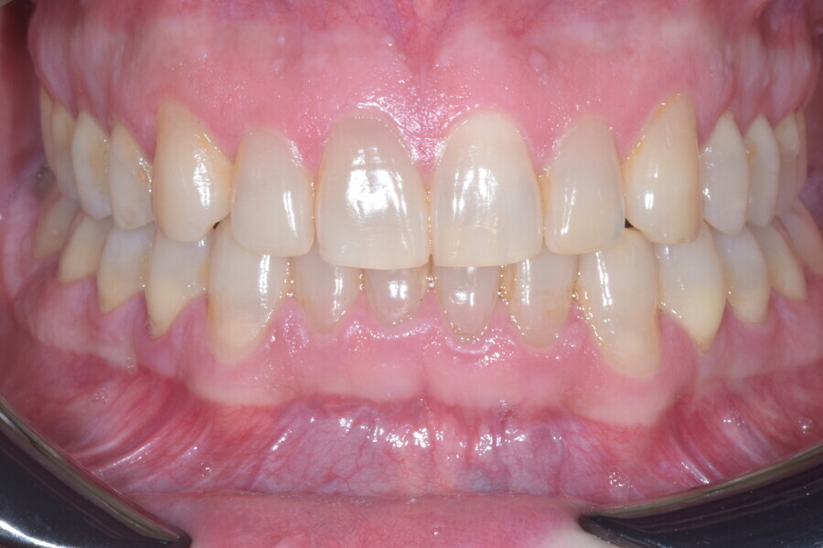
Lors du suivi à un an, alors que le patient portait un appareil de rétention (appareil de rétention Vivera avec rampes d’occlusion, Align Technology), le résultat était stable et l’intercuspation était nettement meilleure (Figs. 38–42).

Lors du traitement d’une malocclusion de type supraclusion, l’intrusion des incisives inférieures doit être combinée avec l’extrusion du segment postérieur par des mouvements extrusifs relatifs (correction du torque et de l’inclinaison).

Grâce à cette approche, il est possible de parvenir à une correction significative de la supraclusion antérieure, par une légère extrusion absolue des dents postérieures découlant du nivellement adéquat de la courbe de Spee. Chaque millimètre d’extrusion des dents postérieures mène à une ouverture de l’occlusion dans la région antérieure d’environ 2,5 mm.10–13 Les caractéristiques biomécaniques des rampes d’occlusion permettent de prévenir l’intrusion des dents, qui se produit fréquemment en raison de l’épaisseur des aligneurs et des contacts interocclusaux. Le nivellement de l’arcade mandibulaire obtenu grâce à l’intrusion des dents antérieures combinée avec l’extrusion relative des dents postérieures, ou tout au moins avec le maintien de la position verticale des dents postérieures, complète le traitement. La désocclusion des dents postérieures, maintenue
en permanence pendant toute la durée du traitement au moyen de rampes d’occlusion, permet d’obtenir un degré significatif d’extrusion absolue des dents postérieures si l’utilisation d’élastiques courts de classe II, et la création de puissants contacts occlusaux postérieurs ont été prévues. La légère extrusion absolue et l’extrusion relative, ob- tenues simultanément grâce à la disto-version des molaires et au redressement des molaires et prémolaires par un mouvement de torque (nivellement de la courbe de Spee dans les trois dimensions), favorisent la rotation de la mandibule dans le sens horaire. De plus, les rampes d’occlusion de précision redirigent les forces occlusales exercées par les muscles et créent ainsi des contacts prématurés dans la région antérieure, qui favorisent l’intrusion des dents inférieures.

L’analyse des clichés céphalométriques latéraux superposés du patient à deux dates différentes permet de comparer la ligne verticale du profil et d’évaluer si la correction de la supra- clusion est complète, au moyen d’une combinaison de vestibuloversions prononcées des incisives et une légère rotation mandibulaire dans le sens horaire, induite par l’extrusion relative des dents postérieures.

Les relations squelettiques verticales semblent en outre être influencées par l’utilisation des éléments auxiliaires des aligneurs, puisque les repères céphalométriques verticaux indiquent un changement positif. Chez ce patient, ni intrusion des dents postérieures ni effet de mordu n’ont été constatés à la fin ou au cours du traitement. La modification globale de la position verticale des dents postérieures était minime, mais comme il a été mentionné, la littérature est à l’appui qu’une légère extrusion absolue ou relative des dents postérieures, induite par la biomécanique de l’appareil, peut mener à une ouverture notable de la supraclusion en raison de la rotation dans le sens horaire de la mandibule, ce qui justifie le besoin d’utiliser des rampes d’occlusion qui s’avèrent efficaces en cas de malocclusion de type supraclusion. L’utilisation combinée de ces éléments auxiliaires intégrés dans les aligneurs, d’une minutieuse planification 3D du nivellement de la courbe de Spee, et d’autres auxiliaires, tels que les taquets utilisés pour l’extrusion et la création de zones de pression agissant sur l’arcade mandibulaire, a mené à un meilleur nivellement de la courbe de Spee et à un résultat plus prédictible.

Il n’existe aucune publication sur l’utilisation des rampes d’occlusion. La seule étude évaluant la supra-clusion et les aligneurs a été menée avant l’introduction des rampes d’occlusion.14 Selon l’approche décrite dans cet article (Fig. 8), les aligneurs pourraient être utilisés pour corriger la supraclusion, tout en prévenant les problèmes strictement liés aux interférences occlusales, qui surviennent lors des mouvements mandibulaires et qui sont fréquemment rencontrées lors du traitement par appareils fixes. Ils permettraient l’obtention d’un résultat idéal avec une durée de traitement beaucoup plus courte.

Note éditoriale:

Cet article a été initialement publié dans le magazine aligners – international magazine of aligner orthodontics, Vol. 2, numéro 1/2023.

Références
1 Miller RJ, Derakhshan M. The Invisalign system: case report of a patient with deep bite, upper incisor flaring, and severe curve of Spee. Semin Orthod. 2002 Mar;8(1):43–50. doi: 10.1053/sodo.2002.28182.
2 Giancotti A, Mampieri G, Greco M. Correction of deep bite in adults using the Invisalign system. J Clin Orthod. 2008 Dec; 4 2 ( 12 ) : 7 19 – 2 6 ; quiz 728.
3 Giancotti A, Germano F, Muzzi F, Greco M. A miniscrew-supported intrusion auxiliary for open-bite treatment with Invisalign. J Clin Orthod. 2014 Jun;48(6):348–58.
4 Rossini G, Parrini S, Castroflorio T, Deregibus A, Debernardi CL. Efficacy of clear aligners in controlling orthodontic tooth movement: a systematic review. Angle Orthod. 2015 Sep;85(5):881–9. doi: 10.2319/061614-436.1.
5 El-Dawlatly MM, Fayed MM, Mostafa YA. Deep overbite malocclusion: analysis of the underlying components. Am J Orthod Dentofacial Orthop. 2012 Oct;142(4):473–80. doi: 10.1016/j.ajodo.2012. 04.020.
6 Simon M, Keilig L, Schwarze J, Jung BA,Bourauel C. Forces and moments generated by removable thermoplastic aligners: inci- sor torque, premolar derotation, and molar distalization. Am J Orthod Dentofacial Orthop.2014 Jun;145(6):728–36. doi: 10.1016/j.ajo-do. 2014.03.015. Erratum in: Am J Orthod Dento-facial Orthop. 2014 Oct;146(4):411.
7 Liu Y, Hu W. Force changes associated with different intrusion strategies for deep-bite correction by clear aligners. Angle Orthod. 2018 Nov;88(6):771–8. doi: 10.2319/121717-864.1.
8 Zhao ZH. [Clear aligner therapy: risks and clinical strategies]. Zhonghua Kou Qiang Yi Xue Za Zhi. 2019 Dec 9;54(12):798–802. Chinese. doi: 10.3760/cma.j.i ssn.1002- 0098.2019.12.002.
9 Kim E, Gianelly AA. Extraction vs non- extraction: arch widths and smile esthetics. Angle Orthod. 2003 Aug;73(4):354–8. doi:
10.1043/0003-3219(2003)073 <0354:evnawa> 2.0.co;2.10
10Baldridge DW. Leveling the curve of Spee:its effect on mandibular arch length. JPO J Pract Orthod. 1969 Jan;3(1):26–41.
11 Braun S, Hnat WP, Johnson BE. The curve of Spee revisited. Am J Orthod Dento- facial Orthop. 1996 Aug;110(2):206–10. doi: 10.1016/s0889-5406(96) 70110-5.
12 Danz JC, Greuter C, Sifakakis I, Fayed M, Pandis N, Katsaros C. Stability and relapsecafter orthodontic treatment of deep bite cases—a long-term follow- up study. Eur J Orthod. 2014 Oct;36(5):522–30. doi: 10.1093/ejo/cjs079.
13 De Praeter J, Dermaut L, Martens G, Kuijpers-Jagtman AM. Long-term stability of the leveling of the curve of Spee. Am J OrthodDentofacial Orthop. 2002 Mar;121(3):266–72. doi: 10.1067/mod.2002.121009.
14 Khosravi R, Cohanim B, Hujoel P, Daher S, NealM, Liu W, Huang G. Management of overbite with the Invisalign appliance. Am J OrthodDentofacial Orthop. 2017 Apr;151(4):6919.e2. doi: 10.1016/j.ajodo. 2016.09.022.

Mots-clés:
To post a reply please login or register
advertisement
advertisement