La notion de contention permanente fait l’unanimité aujourd’hui après traitement orthodontique, elle est par ailleurs, également envisageable dans les cas où il existe un alignement naturel correct, les effets du vieillissement entraînant une perte de l’alignement.
Les cabinets d’omnipratique peuvent donc être confrontés à des fils de contention cassés à renouveler, et ce quel que soit l’âge de leur patient ; ou bien, un praticien peut poser l’indication d’un fil de contention collé de canine à canine afin de réduire les risques d’installation d’encombrement.
Ainsi, il apparaît intéressant de se familiariser avec la mise en place d’un système de contention et de l’intégrer dans son exercice quotidien.
Cet article détaille la procédure de collage indirect d’un fil de contention, à l’aide d’une gouttière de transfert en mémosil® (Heraeus-Kulzer), (Fig. 1).
Comment obtenir le système gouttière/fil de contention ?
La fabrication peut-être gérée au cabinet ou bien déléguée a des laboratoires spécialisés en ODF : après une empreinte à l’alginate, le fil de contention est adapté sur le modèle en plâtre (Fig. 2) puis la gouttière de transfert en mémosil® est réalisée (Fig. 3).
Quel fil choisir?
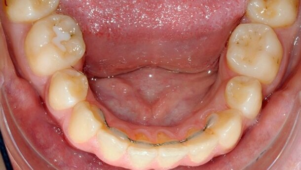
Un fil composé de plusieurs brins (3) en acier, tressés est recommandé; le diamètre conseillé est de .0215 inch (.55 mm LEONE). Ces deux paramètres assurent la rigidité nécessaire au maintien de l’alignement incisivo-canin. Le fil est positionné au 1/3 occlusal à l’arcade mandibulaire, il s’étend généralement de canine à canine. Le brossage et le détartrage ne sont pas pénalisés par sa présence.
Il n’y a pas de colle au niveau des zones interproximales, les plots en composite traditionnel (chargé) sont localisés uniquement sur les faces linguales, le mémosil® vient englober le tout (Fig. 4).
embedImagecenter("Imagecenter_1_925",925, "large");
La méthode de collage
Ce fil de contention préencollé, inclus dans sa gouttière en mémosil® de positionnement sera collé en bouche par une procédure classique.
Un travail à 4 mains va permettre un placement rapide et efficace : en 10 minutes, la contention est collée.
Deux acteurs, l’assistante et le praticien, vont chacun gérer deux phases : la préparation des surfaces à coller et le collage en lui-même.
La préparation des surfaces :
L’assistante prépare le fil contenu dans la gouttière de transfert (Fig. 5), et parallèlement, le praticien prépare les surfaces amélaires au collage.
Les matériaux nécessaires sont classiques : acétone, acide orthophosphorique dosé à 37 %, un adhésif photopolymérisable et un composite fluide.
1) Le praticien :
Son premier geste va être d’essayer la gouttière en mémosil® vérifiant ainsi son axe d’insertion et son appartenance au patient. Il la rend à l’assistante qui va pouvoir la préparer.
Après avoir placé un écarteur, le praticien débute la préparation des surfaces amélaires par un microsablage à l’oxyde d’alumine (50 microns, 3 s par dent) retirant ainsi le biofilm et assurant une préparation mécanique de l’émail.
L’acide orthophosphorique 37 % finalise la préparation de l’émail par une action chimique.
Après rinçage et séchage, les surfaces linguales sont prêtes à recevoir le système de collage (Fig. 6).
2) L’assistante :
Parallèlement au praticien, elle décontamine les bases en résine du fil en passant de l’acétone à l’aide d’une boulette de coton (Fig. 7). L’utilisation d’éponges est proscrite car l’acétone « attaque » l’éponge qui en fondant, pollue la résine et compromet le collage. Puis l’assistante sèche l’intrados, la gouttière est prête au collage.
Le collage :
Il implique l’utilisation d’un agent adhésif photopolymérisable de type MIP (3M) ou Orthosolo (Kerr) et d’un composite fluide de type Aeliteflow (Ultradent) ou Revolution (Kerr).
1) Gestion de l’agent adhésif :
L’Orthosolo ou équivalent est placé sur les surfaces dentaires préparées et sur les plots de composite nettoyés. Il n’est pas photopolymérisé à ce stade.
Un léger passage de seringue à air permet l’évaporation du solvant (Fig. 8). Il est important d’éviter toute contamination aqueuse ou salivaire à partir de cette étape.
2) mise en place de la colle
Le composite fluide est placé UNIQUEMENT sur les plots en composite par l’assistante.
La quantité est faible, l’équivalent d’un grain de semoule (Fig. 9).
Le résumé de ce travail praticien/assistante en synergie est illustré par la Fig. 10.
La gouttière est positionnée en bouche et est maintenue pendant la photopolymérisation, 10s en moyenne par dent ou fonction des recommandations du fabricant de la lampe. Puis une deuxième phase de polymérisation intervient sans maintien, afin d’assurer un temps d’illumination suffisant (Fig. 11).
Le retrait de la gouttière est aisé, le fil reste collé sur les dents (Fig. 12).
Le nettoyage se fait à l’aide de fraises à composite afin d’éliminer les excès, un contrôle de l’occlusion à l’aide de papier articulé est nécessaire.
Pour conclure, la durée moyenne d’un fil collé est de 5 ans environ, son entretien est aisé. Il permet de maintenir un alignement naturel ou obtenu après traitement orthodontique.
Cette méthode de travail (Fig. 13) est facile à intégrer dans sa pratique quotidienne, elle permet d’envisager sereinement la prise en charge de patients où l’indication d’un fil collé a été posée.
Une femme de 38 ans est venue au cabinet dentaire, car elle se plaignait d’un inconfort dans la zone gauche supérieure. L’examen clinique a révélé ...
Incontournables dans nos cabinets dentaires, plus de 89,2 % des praticiens sondés posent des attelles de contention fibrées depuis plus de ...
C’est en 1990 que Hibst et Keller ont pour la première fois suggéré l’utilisation du laser Er:YAG pour l’ablation des...
J'ai récemment reçu un e-mail, d'un dentiste généraliste, avec l'image de la dent 27 (image 1). Le mail : "j'ai une ...
Les exigences esthétiques des patients adultes nécessitant un traitement orthodontique, demandent des options qui ont le moins ...
BRISTOL, Royaume-Uni : La plus grande étude réalisée à ce jour pour mesurer spécifiquement la production d'aérosols en milieu dentaire a révélé que...
LYON, France / RUGBY, Royaume-Uni : Les cas de cancer de la bouche, au Royaume-Uni, vont augmenter de près d'un quart, d'ici 2030. Le Centre ...
SCOTTSDALE, États-Unis : Selon une nouvelle étude américaine, les patients atteints d’un cancer de la bouche ou de la gorge ...
La dentisterie adhésive a fondamentalement modifié et littéralement transformé notre domaine pour des restaurations dentaires ...
La dentisterie adhésive a fondamentalement modifié et littéralement transformé notre domaine pour des restaurations dentaires ...
Webinaire en direct
jeu. le 7 mai 2026
à 2h00 (CET) Paris
Ms. Ellen Karlin, Dr. Sara Karlin
Webinaire en direct
jeu. le 7 mai 2026
à 17h00 (CET) Paris
Webinaire en direct
jeu. le 7 mai 2026
à 18h00 (CET) Paris
Webinaire en direct
jeu. le 7 mai 2026
à 18h00 (CET) Paris
Dra. Maria Carolina Erhardt, Dra. Thais Tomé Feldens
Webinaire en direct
jeu. le 7 mai 2026
à 20h30 (CET) Paris
Webinaire en direct
lun. le 11 mai 2026
à 18h00 (CET) Paris
Webinaire en direct
lun. le 11 mai 2026
à 19h00 (CET) Paris
To post a reply please login or register