Une résorption plus ou moins importante fait suite à l’extraction d’une dent.1 La gestion des sites extractionnels est devenue en implantologie un sujet abondamment traité par les études scientifiques comme le montre Chen dans sa revue de la littérature.2 Ces dernières années, la technique de la préservation d’alvéole ou plus précisément de la préservation de la crête alvéolaire, a été mise en valeur par de nombreux cliniciens comme Newcovski et Nevins.3, 4 C’est la seule technique qui va permettre dans certaines situations, de préserver le volume externe après extraction. Le remplissage de l’alvéole par une greffe osseuse ou un substitut osseux, a pour objectif d’aboutir au remplacement de la racine par des tissus osseux, associés à une conservation du volume. Quand on se réfère à la technique de préservation d’alvéole, il serait donc préférable de parler de comblement d’alvéole.
Cette technique devient indispensable, dans les cas pour lesquels il est impossible d’obtenir une stabilité primaire suffisante pour placer l’implant. Il s’agit des situations où il y a une grande perte osseuse et/ou associée à des racines longues. La présentation de ce cas clinique permettra d’avoir un aperçu sur l’indication appropriée, la technique de comblement d’alvéole et le résultat implantaire et prothétique que l’on peut obtenir.
Présentation du cas
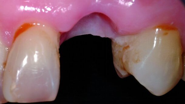
Cette patiente de 70 ans présente une canine supérieure avec une très grosse résorption externe (Figs. 1 et 2). L’étendue de la destruction ne permet pas un traitement conservateur et impose l’extraction. Nous sommes en présence d’une racine très longue sans perte osseuse et d’une patiente qui hésite un peu à accepter un traitement implantaire. Du fait de la longueur de racine qui risque de ne pas permettre une stabilité primaire suffisante, la technique de comblement d’alvéole après extraction est choisie. Cette technique permettra la conservation du volume dans le temps, en permettant également à la patiente de prendre sa décision.
embedImagecenter("Imagecenter_1_1015",1015, "large");
Traitement
Il est important de réaliser une extraction atraumatique (Fig. 3). L’utilisation d’inserts spéciaux sur piezotome est très intéressante dans de telles situations. Ces instruments peuvent être glissés entre la paroi interne de l’alvéole et la racine, pour élargir l’espace du ligament parodontal, de façon contrôlée et précise, et permettre ainsi d’extraire la dent sans fracturer la racine. Si possible, il faut éviter d’élever un lambeau qui risque de faire perdre l’architecture d’origine des tissus mous, lorsque celle-ci est acceptable. L’utilisation d’une membrane résorbable en collagène (Copios, Zimmer Dental), permettra d’éviter la fuite du matériau de comblement hors de l’alvéole. Cette dernière doit être préparée et placée dans un premier temps, contre la face interne de la paroi osseuse vestibulaire (Fig. 4). Dans un deuxième temps, elle doit être enfoncée à une profondeur lui permettant d’être bloquée par le matériau de comblement (Fig. 5) qui est un matériau xénogreffe d’origine bovine (Bio-oss, Geistlich) qui a des propriétés ostéoconductrices et présente une résorption lente. Nevins a montré l’intérêt de ce matériau pour préserver la crête alvéolaire dans les cas de racines proéminentes.4 Dans une étude histomorphométrique, Lee a comparé ce matériau avec des greffes allogènes irradiées ou déshydratées.5 La membrane fermera le site extractionel à l’aide d’une suture résorbable unique de matelassier (Fig. 6).
La cicatrisation des tissus mous doit être guidée par une restauration provisoire avec une forme de pontique ovale. Ce pontique peut exercer une légère pression sur la membrane, et s’étendre 2 mm sous le rebord alvéolaire vestibulaire du site extractionel. Avec la cicatrisation et une certaine résorption des tissus mous, la face interne du pontique devra être réadaptée dans le temps (Figs. 7 et 8). La durée de la période de cicatrisation doit permettre une bonne cicatrisation des tissus mous (Figs. 9 et 10), mais c’est la cicatrisation des tissus osseux qui va déterminer le moment de l’implantation. Schropp a montré que les deux tiers de la résorption postextractionnelle de la largeur de la crête, avaient lieu dans les trois premiers mois qui suivaient une extraction.1 Il est donc logique d’attendre ce délai si l’on veut s’assurer de la stabilité des tissus durs et mous. L’autre facteur qui détermine le délai d’attente, est le degré de stabilité primaire que l’on peut estimer en fonction de la situation initiale : plus la destruction osseuse est importante plus l’attente doit être longue, donc l’implantation peut être réalisée entre 3 à 6 mois après l’extraction selon la situation. L’implant (Screw-Vent, Zimmer Dental) est placé dans de bonnes conditions osseuses et gingivales. Les incisions respectent la zone des papilles et permettent une mobilisation du lambeau, de façon à recouvrir une greffe de tissu conjonctif enfouie, pour améliorer le rendu esthétique (Figs. 11 et 12). Le résultat final clinique et radiologique, montre une bonne intégration osseuse et esthétique de la restauration implantaire (Figs. 13 et14).
Discussion
Le résultat de la gestion d’un site extractionel doit être évalué au niveau de trois zones différentes: le volume interne de l’alvéole résiduelle, la paroi externe osseuse vestibulaire et les tissus mous vestibulaires et interproximaux. La cicatrisation osseuse au sein du volume interne de l’alvéole va déterminer la qualité de l’ostéointegration. La paroi osseuse vestibulaire joue un rôle fondamental dans le soutien des tissus mous et les tissus mous vont finaliser l’aspect gingival esthétique pour la restauration.
Il y a de nombreux matériaux de comblement disponibles aujourd’hui et les études réalisées sur ces matériaux pour des comblements d’alvéoles, évaluent leur impact au niveau de ces trois zones.
L’évaluation du volume interne de l’alvéole résiduelle est histologique. Elle répond à des critères de recherche fondamentale histologique habituels. L’évaluation de la paroi osseuse vestibulaire et des tissus mous vestibulaires et interproximaux est volumétrique. C’est une évaluation pour laquelle un grand nombre de paramètres entrent en jeu : le choix des dents à extraire pour l’étude (dents monoradiculées ou pluriradiculées), leur situation osseuse, le type d’extraction (simples ou multiples, adjacentes ou non) font partie de ces paramètres. De plus, les méthodes de mesure peuvent être également très variées : utilisation de la radiologie tridimensionnelle,4 mesures intra-orales avec des guides,6 mesures à partir de modèles provenant d’empreintes. Tous ces paramètres rendent les résultats plus difficiles à interpréter et à comparer.
Un matériau de comblement qui donne des résultats histologiques supérieurs à un autre, ne garanti pas à une conservation idéale du volume externe de l’alvéole, notamment si sa résorbabilité est grande. Lors d’un comblement d’alvéole, un triple objectif est recherché : obtenir de bonnes conditions d’ostéointégration pour le futur implant, permettre le choix d’un diamètre d’implant en rapport avec la dent à remplacer et obtenir d’emblée grâce à cette seule intervention, le volume recherché, sans avoir recours à des interventions supplémentaires par greffes osseuses.7
Conclusion
Le comblement d’alvéole est une technique simple qui permet de diminuer la résorption qui fait suite à l’extraction d’une dent. Dans les cas où on ne peut pas placer l’implant rapidement, pour des raisons de perte osseuse ou de racine trop longue qui empêche une stabilité primaire adéquate, cette technique permet d’attendre la cicatrisation des tissus durs et des tissus mous, en réduisant les risques de résorption qui peuvent avoir une conséquence sur l’ostéointégration et l’esthétique._
Note de la rédaction :
- une liste complète des références est disponible auprès de l’éditeur.
- Cet article est paru dans le DT Study Club, Vol. 1, No. 3, décembre 2013.
Il existe un nombre élevé de données cliniques attestant que les procédures de greffes prélevées dans des sites ...
La restauration esthétique de dents antérieures par traitement implantaire est une technique délicate, surtout en présence de défauts des tissus osseux...
Dentiste omnipraticien expérimenté et pédagogue passionné, le Dr Charles Toledano dirige l’ADF 2025 en tant que directeur scientifique. Fort de trois ...
LYON, France : Séance pratique : ergonomie en endodontie, avec ou sans aide visuelle, avec ou sans assistante ?
Au cours de nombreuses années de consulting à travers le monde, j’ai vu non seulement beaucoup de beaux cabinets dentaires, mais aussi assez souvent, ...
L’implantologie axiale a montré ses limites en présence de crêtes osseuses fines. Le forage exige un minimum d’un ...
GOTHENBURG, Suède : Suite à la poste d’implants dentaires, des complications biologiques ou techniques peuvent survenir. Elles peuvent affecter ...
PORTLAND, États-Unis : Des chercheurs américains ont montré que certaines souches de bactéries associées aux caries ...
LONDRES, Royaume-Uni : Lors de la célébration de la Journée mondiale de la santé buccodentaire, des représentants de la ...
Il est séduisant de remarquer comment un léger changement de couleur des dents peut éclairer tout le visage de ceux qui décident...
Webinaire en direct
jeu. le 30 avril 2026
à 1h00 (CET) Paris
Dr. Renato Leonardo D.M.D.
Webinaire en direct
jeu. le 30 avril 2026
à 19h00 (CET) Paris
Webinaire en direct
dim. le 3 mai 2026
à 18h00 (CET) Paris
Dr. Rickard Brånemark MSc, MD, PhD, Dr. Robert Gottlander DDS
Webinaire en direct
lun. le 4 mai 2026
à 2h00 (CET) Paris
Webinaire en direct
mar. le 5 mai 2026
à 16h00 (CET) Paris
Webinaire en direct
mar. le 5 mai 2026
à 18h00 (CET) Paris
Webinaire en direct
mar. le 5 mai 2026
à 19h00 (CET) Paris
Dr. Maximilian Dobbertin M.Sc
To post a reply please login or register