Search Dental Tribune

Articles

Filtrer

Novembre : Moi(s) sans tabac

PARIS, France : Santé publique France reconduit l’opération  « Moi(s) sans tabac »,  qui consiste à proposer aux fumeurs de faire ensemble une ...

Enregistrer

Enquête : l'usage de l'information par les chirurgiens-dentistes

Dental Tribune encourage et accompagne les chirurgiens-dentistes en devenir. Dans ce cadre, nous avons sélectionné une étude effectuée à l’occasion ...

Enregistrer

NextGen, le congrès des nouvelles générations

PARIS, France : Ce congrès d’omnipratique mixera conférences magistrales, sur des formats courts et rythmés, et séances de travaux pratiques. Les ...

Enregistrer

Exploiter le « stress positif » pour stimuler la régénération des tissus dentaires

HONG KONG : Les chirurgiens-dentistes connaissent bien les effets négatifs que le stress peut avoir sur la cavité buccale. Cependant, une étude récente ...

Enregistrer

Pierre-Yves Le Maout : « Une période compliquée »

Le COMIDENT est depuis 2005 l’unique organisation en France regroupant les fabricants et distributeurs des produits et technologies dentaires. Cette ...

Enregistrer

Un manche de brosse à dents personnalisé, imprimé en 3D, pour les patients dont la dextérité est limitée

SANGAREDDY, Inde : Une équipe de chercheurs d’universités en Inde a mis au point une méthode de fabrication d’un manche personnalisé et ...

Enregistrer
advertisement

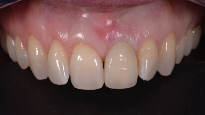
Encore un peu plus près de la nature : concepts occlusaux et esthétique raffinée en dentisterie numérique

Une restauration dentaire n’est pas seulement une œuvre esthétique ; elle doit satisfaire à beaucoup d’autres exigences et s’intégrer parfaitement...

Enregistrer

Congrès international Esthetic Days organisé par Straumann

PALMA DE MAJORQUE, Espagne : Du 1er au 3 décembre, Straumann, le fabricant mondial d’implants dentaires, organisera son premier congrès international ...

Enregistrer

Les systèmes de santé mondiaux ne sont pas préparés à une nouvelle pandémie, selon une étude

DOHA, Qatar: Une enquête commandée par le Sommet mondial de l’innovation pour la santé (WISH) a révélé que les systèmes de santé de certains pays ...

Enregistrer

Médicament homéopathique : Ipéca

Dans notre exercice au fauteuil dentaire, nous avons des phases thérapeutiques de prises d’empreintes de modèles en prothèse, comme en orthodontie. Des...

Enregistrer

Ivoclar et exocad étendent les options pour les prothèses numériques avec l'intégration dans DentalCAD

SCHAAN, Liechtenstein: Ivoclar a révolutionné la fabrication de prothèses complètes il y a deux ans avec l’introduction d’Ivotion Denture System. Ce...

Enregistrer

IFRO : Appel à projets

PARIS, France : Créé à l’initiative de l’Association dentaire française, d’universitaires et de partenaires industriels, l’Institut français ...

Enregistrer
advertisement

Réalisation d'indications simples avec pose directe au cabinet

Usinage de qualité et rapidité des soins : deux notions longtemps en contradiction. Avec le Ceramill DRS Production Kit d’Amann Girrbach, les dentistes...

Enregistrer

Octobre rose : les actions se multiplient

Pour sa 29e édition, le mois d’octobre est placé sous le signe de la lutte contre le cancer du sein. Tout au long du mois d’octobre, de nombreux ...

Enregistrer

La bichectomie à visée esthétique

L’esthétique faciale est omniprésente avec les réseaux sociaux et les selfies (Fig. 1). Le public cherche à affiner sa silhouette faciale, pour ...

Enregistrer

Des chercheurs utilisent l'impression 3D pour créer des biofilms

BOZEMAN, Montana, États-Unis : Des chercheurs de la Montana State University (MSU) ont mis au point un dispositif d’impression 3D capable de reproduire ...

Enregistrer
advertisement

Sellerie et revêtement, que choisir ?

Vinyle tissé, simili-cuir, polycarbonate, … il existe différents modèles de selleries et de nombreux revêtements, mais il n’est pas toujours facile ...

Enregistrer

Les 8es rencontres aria CAD-CAM dentaire débutent jeudi 29 septembre

Les 8es rencontres aria CAD-CAM dentaire se dérouleront du jeudi 29 septembre au samedi 1er octobre à Lyon. Les rencontres internationales aria CAD-CAM ...

Enregistrer

Cas clinique de chirurgie guidée : « C’est la prothèse qui guide l’implant et non le contraire. »

Afin de réaliser une prothèse idéale, l’utilisation d’un guide implantaire est fortement indiquée, en particulier lorsque l’édentement atteint ...

Enregistrer

Pour votre santé bucco-dentaire, évitez les recettes de dentifrice maison

La santé bucco-dentaire est principalement définie comme l’absence de douleur bucco-dentaire chronique, de maladie parodontale et de carie dentaire. Il ...

Enregistrer
advertisement

Des prétendues allergies à la pénicilline en cause dans la surconsommation d’antibiotiques en odontologie

STOCKHOLM, Suède : La résistance aux antibiotiques due à la prescription excessive est un sujet de grande préoccupation dans toutes les spécialités ...

Enregistrer

Accélérez votre flux de travail, transformez votre cabinet avec de nouvelles possibilités

Nous sommes fiers d’annoncer que les solutions intra-orales Carestream Dental font désormais partie de notre gamme DEXIS. Équipés du logiciel ultra ...

Enregistrer
advertisement

L’UFSBD lance un site grand public pour tout connaître sur la santé bucco-dentaire

PARIS, France : L’Union française pour la santé bucco-dentaire (UFSBD) a dévoilé le 15 septembre son nouveau site internet, 100 % dédié à la santé...

Enregistrer

Des chercheurs néo-zélandais réalisent un essai réussi d'anesthésie dentaire sans piqûre

DUNEDIN, Nouvelle-Zélande : L’anxiété dentaire continue d’être un obstacle important dans le cadre de soins dentaires, et les approches peu ...

Enregistrer

ADF : « Les taux d’inscriptions actuels sont comparables aux années précédant la crise Covid-19 »

PARIS, France : Le congrès de l’Association dentaire française (ADF), rencontre annuelle au Palais des congrès de Paris aura lieu du 22 au 26 novembre ...

Enregistrer

Développement de la première plateforme d'analyse dentaire intégrative 3D

SÉOUL, Corée du Sud : L’hôpital dentaire de l’université Kyung Hee a récemment signé un accord commercial avec la société Osteoid, un ...

Enregistrer
advertisement

InDex by TBR : Portes ouvertes 2022

TOULOUSE, France : InDex by TBR organise ses journées «Portes ouvertes» du mardi 13 au jeudi 15 septembre de 9h à 23h dans le prestigieux cadre du Mas ...

Enregistrer

Les JO 2022 mettent à l’honneur les assistant(e)s dentaires

Les 24e Journées de l’orthodontie se dérouleront du 11 au 13 novembre 2022 au Palais des congrès de Paris et auront pour thème : « Tout est son ...

Enregistrer

Pour une meilleure santé bucco-dentaire pour tous

PARIS, France : L’état de santé bucco-dentaire des personnes en situation de handicap est un enjeu majeur de santé publique et d’intégration ...

Enregistrer

Bonne rentrée à tous !

La médecine bucco-dentaire et la médecine générale se complètent. On le sait depuis longtemps, le premier geste du médecin jadis était d’examiner ...

Enregistrer
advertisement
advertisement