Search Dental Tribune

Articles

Filtrer

Découverte d’une mutation dans une tumeur de la mâchoire

TURKU, Finlande : Une équipe de scientifiques finlandais a découvert une mutation génétique dans l’améloblastome, ...

Enregistrer

La FDI et DTI publieront l’édition anniversaire du journal de l’Annual World Dental Congress

GENÈVE, Suisse / LEIPZIG, Allemagne : Grâce à un changement de venue chaque année, l’Annual World Dental Congress (AWDC), ...

Enregistrer

Sirona annonce une commercialisation étendue, par le biais de Henry Schein en France

SALZBOURG, Autriche : Sirona agrandit la base de sa clientèle potentielle en France, par le biais du transfert de ses activités commerciales ...

Enregistrer

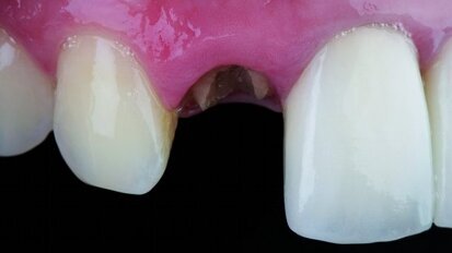
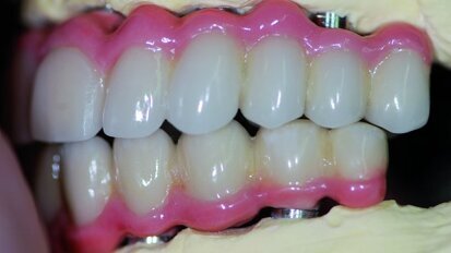
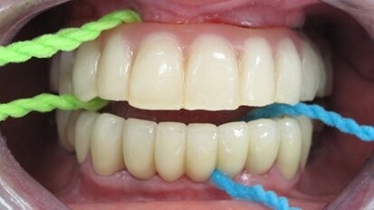
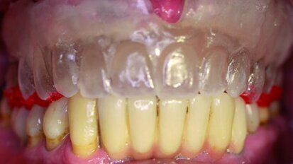
Aesthetic Digital Smile Design ADSD : dentisterie esthétique assistée par ordinateur – Partie I

Le concept de l’esthétique a été évoqué par divers auteurs et débattu par les philosophes les plus ...

Enregistrer

Un matériau photoactif accélère le durcissement des obturations dentaires

VIENNE, Autriche : En collaboration avec le fabricant dentaire Ivoclar Vivadent, des chercheurs de la Vienna University of Technology ont ...

Enregistrer

L’ISO veut redéfinir l'étiquetage « sans nickel » pour les produits dentaires

GENÈVE, Suisse : L'Organisation internationale de normalisation ( ISO), l'un des plus grands développeurs mondiaux de normes internationales ...

Enregistrer
advertisement

'4 Healthy Habits' : des bénévoles pour aider à lutter contre les maladies non transmissibles

GENÈVE, Suisse : La Fédération internationale des Sociétés de la Croix-Rouge et du Croissant-Rouge (IFRC) et la ...

Enregistrer

La dent d’Elvis exposée au Royaume-Uni, pour promouvoir la sensibilisation au cancer de la bouche

LONDRES; Royaume-Uni : Afin d'encourager les patients à faire un test gratuit de dépistage du cancer de la bouche, un groupe de dentistes au ...

Enregistrer

Formation laser en juin avec Kaelux

MARAUSSAN, France : Deux journées exceptionnelles les 19 et 20 juin 2014, pour acquérir et maîtriser la chirurgie dentaire ...

Enregistrer

Greffes du visage : des chercheurs examinent les développements au cours des neuf dernières années

BALTIMORE / NEW YORK, États-Unis : Des chirurgiens américains spécialisés en chirurgie plastique et reconstructrice, ont ...

Enregistrer

Les Journées Dentaires Internationales du Québec se tiendront à Montréal, du 23 au 27 mai

La 44e édition des Journées Dentaires Internationales du Québec (JDIQ) aura lieu du 23 au 27 mai, au Palais des congrès de ...

Enregistrer

Nouveau siège européen à Waregem pour Arseus Lab

WAREGEM, Belgique : Arseus Lab NV, distributeur européen de produits et de services destinés aux laboratoires dentaires et ...

Enregistrer
advertisement

Une nouvelle étude sur la régénération endodontique se voit allouer un budget de 2 millions de dollars

CHICAGO, États unis : Une nouvelle étude évaluera l’efficacité de deux approches régénératrices pour ...

Enregistrer

Fusion de SOPRO et de De Götzen

MERIGNAC, France : ACTEON Group a annoncé la fusion des unités d’imagerie SOPRO et de De Götzen, en une seule division ...

Enregistrer

Restez bien assis ! Le tabouret opérateur

On cherche dans le tabouret opérateur la solution à tous nos maux, alors que notre position dépend de celle du patient, donc du support...

Enregistrer

La résistance aux antibiotiques : une menace grave d’ampleur mondiale

GENÈVE, Suisse : Un nouveau rapport de l’Organisation mondiale de la Santé (OMS) basé sur les données provenant de 114 ...

Enregistrer
advertisement

Beat Wäckerle élu président de la SSO

BERNE, Suisse : Les délégués de la Société suisse des médecins-dentistes ont élu le médecin-dentiste...

Enregistrer

L’haleine pourrait être un biomarqueur pour le cancer de la tête et du cou

MADRID, Espagne : Des chercheurs de l'université du roi Juan Carlos (URJC) et de l'hôpital Alcorcón à Madrid, ont comparé ...

Enregistrer

La combinaison d’alcool et de tabac double le risque de cancer de l'œsophage

ANN ARBOR, États-Unis : Il a déjà été établi que le tabac et l'alcool sont des facteurs de risque importants pour ...

Enregistrer

La solution d'empreinte numérique TRIOS Color de 3Shape inclut désormais une fonctionnalité de mesure des teintes dentaires

COPENHAGUE, Danemark : 3Shape a présenté récemment, les dernières innovations apportées à sa solution TRIOS Color ...

Enregistrer
advertisement

Des milliers de praticiens assistent à la plus grande rencontre internationale de dentisterie implantaire à ce jour

GENÈVE, Suisse : Du 24 au 26 avril, à Genève, l’International Team for Implantology (ITI) a tenu son 2014 ITI World Symposium. Le...

Enregistrer

SOREDEX, PaloDEx Group Oy acquiert Médical Universal France

TUUSULA, Finlande : SOREDEX, PaloDEx Group Oy a annoncé l’acquisition de Médical Universal, une société du groupe Arseus, ...

Enregistrer
advertisement

Les écrans Eonis de Barco : l’imagerie dentaire en toute sécurité

KORTRIJK, Belgique : Afin de pratiquer des interventions très précises, les dentistes doivent pouvoir disposer aisément d'une ...

Enregistrer

Les stabilisateurs de l'humeur peuvent diminuer le risque de cancer de la bouche

ATLANTA, États-Unis : Des chercheurs aux États-Unis ont suggéré que l'utilisation de l'acide valproïque (VPA), un ...

Enregistrer

La première bouche virtuelle dynamique 3D aiderait à développer des aliments plus sains

MELBOURNE, Australie : Des chercheurs ont présenté la première bouche virtuelle dynamique au monde. Selon eux, elle permettrait de ...

Enregistrer

Nouvelles recommandations sur les meilleures pratiques de gestion des aspects psycho-oncologiques du cancer de la tête et du cou

BRUXELLES, Belgique : Les nouvelles recommandations sur les meilleures pratiques de gestion des aspects psycho-oncologiques du cancer de la tête et du...

Enregistrer
advertisement

La Société Française de Dentisterie Esthétique (SFDE) en Live

PARIS, France : La magie du direct avec les interventions des docteurs Didier Dietschi, Roberto Spreafico, Sylvain Altglas, Keyvan Darvapanah et Philippe ...

Enregistrer

La prévention sur le bout des doigts

Le syndrome du canal carpien est une des pathologies les plus répandues en tant que trouble musculo-squelettique du membre supérieur chez le ...

Enregistrer

Des bains de bouche trop fréquents triplent le risque de cancer de la bouche

BRÊME, Allemagne : De nombreuses études ont établi un lien entre le tabagisme et la consommation excessive d’alcool, et le ...

Enregistrer

Des ingénieurs développent un nouveau gel pour favoriser la croissance osseuse autour des implants dentaires

UPPSALA, Suède : Le succès des implants dentaires et orthopédiques dépend en grande partie de leur intégration dans le ...

Enregistrer
advertisement
advertisement